|
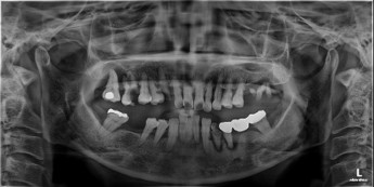
상악동거상술 후 전악임플란트 2025-09-26 |
|---|
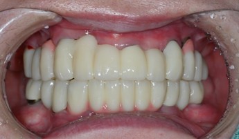
오늘은 심한 충치로
환자분의 치조골 상태, 치주 상태가 너무 안좋은 상태였기 때문에 |
|
이전글
|
|
다음글
|
| 진료내용 | 종류 | 진료비용(원) | |
| 인레이 | Emax | 2면 | 350000 |
| 3면 | 450000 | ||
| resin (tecera) | 1면 | 300000 | |
| gold | 450000 | ||
| 도재세라믹 | CAD/CAM | 350000 | |
| 온레이 | 도재세라믹 | 400000 | |
| 도재세라믹 | CAD/CAM | 400000 | |
| gold | 450000 | ||
| 레진 | 대구치 1면 | 100000 | |
| 소구치 1면 | 80000 | ||
| pit | 80000 | ||
| 복합레진 | 2면 | 200000 | |
| 3면 | 200000 | ||
| 전치 | 간단 | 150000 | |
| Diastema | 200000 | ||
| 치경부 | 60000 | ||
| 소아 | 구치부 | 100000 | |
| SS크라운 | 100000 | ||
| 공간유지장치 | 150000 | ||
| 불소도포 | 젤, 비니쉬 | 전악 | 19000 |
| 실란트 | 치아당 (비보) | 30000 | |
| 치석제거 | 60000 | ||
| MTA | Base | 치아당 | 100000 |
| Carial filing | 근관당 | 100000 | |
| 코어 | 레진 | 치아당 | 50000 |
| 포스트 | 치아당 | 100000 | |
| 크라운 | gold | A type(47%) | 900000 |
| 도재금관 | 전치,구치 동일 | 700000 | |
| 전부도재관 | 전치 | 600000 | |
| 구치 | 550000 | ||
| 라미네이트 | 600000 | ||
| 임플란트 | 오스템 | CA/상부보철 | 1100000 |
| BA/상부보철 | 1300000 | ||
| 메가젠 | ANYONE/상부보철 | 1000000 | |
| 포인트 UV | UV/상부보철 | 1200000 | |
| 스트라우만 | 2000000 | ||
| 상악동 거상술 | 치조정접근 | 500000~700000 | |
| 측방접근 | 800000~1000000 | ||
| 뼈이식 | 치아당 | 300000~500000 | |
| 교정 | 일반 브라켓 | 메탈/레진 | 3000000 |
| 세라믹 | 3500000 | ||
| 자가결찰 브라켓 | 클리피씨 | 3500000 | |
| S-LINE | 3800000 | ||
| 유지장치 | 500000/800000 | ||
| 진단비 | 교정 정밀진단 | 10000 | |
| 월비 | 30000~50000 | ||
| 스크류 | 개당 | 100000 | |
| 교정발치 | 개당 | 50000 | |
| 부분교정 | 1800000 | ||
| 투명교정 | 3500000 | ||
| 인비절라인 | 5000000 | ||
| 프리올소 | 1000000 | ||
| 성장기 교정 | 1200000~2400000 | ||
| 스플린트 | CR | 턱관절 치료용 | 1200000 |
| nightgard | 이갈이용 | 500000 | |
| 덴처 | flipper | 100000 | |
| T/D | 악당 | 300000 | |
| CD | 2000000 | ||
| RPD | 2000000 | ||
| Overdenture | 2000000 | ||
| 로케이터 | 150000 | ||
| 진단서 | 보험제출용 | 3000 | |
| 상해진단서 | 50000 | ||
| 상해진단서(3주 이상) | 1000000 | ||
| 미백 | 전문가미백패키지 | 3회 | 390000 |
| 자가미백 | 300000 | ||
| 턱관절 | 교근 보톡스 | 100000 | |
| 통증 보톡스 A | 900000 | ||
| 통증 보톡스 B | 1200000 | ||


01
상악골 뼈가 부족해 임플란트가 어려울 때상악동 거상술
상악동 거상술은 위턱뼈(상악골)의 골량이 부족할 때 시행되는 뼈이식 수술입니다.
상악동 점막을 들어올리고 인공 뼈를 채워, 임플란트가 안전하게 식립될 수 있도록
뼈의 높이와 두께를 보강하는 고난이도 술식입니다.
02
잇몸뼈 양이 부족해서 임플란트가 어려울 때뼈이식 임플란트
임플란트를 오래 안전하게 사용하려면 충분한 잇몸뼈가 필요합니다.
치아를 오래 잃거나 잇몸질환이 있으면 뼈가 줄어들어 식립이 어려울 수 있습니다.
이때 뼈이식술로 부족한 뼈를 채워 임플란트가 잘 자리 잡도록 도와줍니다.
뼈이식을 하면 성공률과 안정성을 높일 수 있습니다.
03
전체 치아를 상실했을 때전악 임플란트
전악 임플란트는 치아가 전혀 없거나 심한 구강 질환이 있을 때도
전체 보철물을 제작하고 임플란트를 잇몸 뼈에 식립하여
자연치아와 거의 같은 기능과 미용 효과를 되살려 줍니다.
04
임플란트 실패로 재수술이 필요할 때고난이도 임플란트
임플란트 재수술은 처음보다 훨씬 복잡하고 어려운 수술입니다.
특히 뼈이식이나 전체 임플란트 같은 고난도 수술은
경험 많은 전문 의료진에게 받는 것이 안전합니다.
디지털 정밀 진단

일반 임플란트 치아 상태 및 신경의 위치를 2D(평면)으로만 확인이 가능해 정확한 진단이 어려울 수 있음

3D CT를 통한 컴퓨터 분석 현재 턱 뼈와 잇몸의 상태를 3차원 입체 영상으로 확인이 가능해 정밀 진단에 따른 오차 없는 수술이 가능

일반적인 인상 채득 입이 작거나 구역 반사가 심한경우 불편하고 치아의 미세한 부분까지 재현하는 데 한계가 있음

3D 디지털 스캐너 최신 3D 디지털 스캐너 장비를 사용해 본 뜨는 번거러움 없이 빠르고 편안하게 정확한 구강내 인상 채득이 가능
